Case Studies

Minimally Invasive Treatment of a Ruptured Right MCA Aneurysm with WEB Device

Introduction

This case involves a patient who presented with a sudden, severe headache and photophobia. The patient’s family reported confusion and episodes of vomiting on the day of admission.

Patient Background

– Medical History: Hypertension, no previous history of headaches or neurological deficit.

– Family History: A family member had a history of a cerebral aneurysm.

Diagnostic Assessment

– Clinical Presentation: Sudden onset headache, graded as 10/10 in severity, accompanied by nausea, vomiting, and photophobia.

– Physical Examination: Positive Brudzinski’s sign, stiff neck. Glasgow Coma Scale was 14/15.

– CT Scan of the Head: Revealed subarachnoid hemorrhage (SAH).

– CT Angiography: Identified a saccular aneurysm on the right MCA bifurcation.

Treatment Plan

– Initial Management: Stabilization in the ICU with strict blood pressure control and intracranial pressure monitoring and CSF diversion using an external ventricular drain placed at bedside.

– Decision Against Surgical Clipping: Given the potential risks associated with craniotomy and surgical clipping, endovascular options were considered.

– WEB Device Implementation:

– Procedure Details: Under general anesthesia, a catheter was guided through the femoral artery up to the right MCA using fluoroscopic imaging.

– Device Placement: The WEB device was deployed at the neck of the aneurysm, effectively isolating the aneurysm from the arterial circulation without compromising the parent artery.

– Completion Angiogram: Confirmed the successful exclusion of the aneurysm from circulation with no residual filling.

Right middle cerebral artery wide neck bifurcation aneurysm (red arrows). Dotted yellow line outline the aneurysm neck.
The WEB Device inserted into aneurysm prior to detachment. See how the device fills the aneurysm. an electrical current dissolve a metal junction (arrow) to precisely release the device
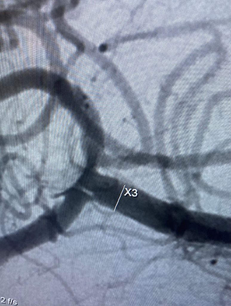
Immediately there is absent filling of the aneurysm except for a minimal filling at the neck which went away at 3 months
Outcome and Follow-Up

– Immediate Post-procedure: The patient remained neurologically stable with no new deficits.

– Hospital Discharge: Discharged after a steady recovery; prescribed a course of nimodipine and regular follow-ups.

– Six-Month Follow-Up:

– Clinical: No recurrence of headaches, no neurological deficits.

– Imaging: Follow-up angiography showed continued occlusion of the aneurysm with stable placement of the WEB device.

– One-Year Follow-Up:

– Long-term Outcome: The patient returned to full activities with no neurological impairments.

Discussion

This case illustrates the effective use of the WEB device in treating a ruptured MCA aneurysm, offering a less invasive alternative to traditional surgical clipping. The procedure averted the need for open surgery, significantly reducing the patient’s recovery time and associated surgical risks. This case adds to the growing body of evidence supporting the use of the WEB device for suitable intracranial aneurysms and highlights the importance of individualized treatment planning in neurointerventional surgery.

Understanding Subarachnoid Hemorrhage (SAH)

SAH is a critical condition characterized by bleeding into the subarachnoid space—the area between the brain and the surrounding membrane. This condition can lead to increased intracranial pressure, acute brain injury, and other severe complications like hydrocephalus and vasospasm. The most common cause of SAH is a ruptured intracranial aneurysm.

Immediate Goals in SAH Management

– Preventing Rebleeding: The initial focus of SAH treatment is to prevent rebleeding, which can significantly worsen outcomes. Rebleeding typically occurs within the first 24 hours after the initial hemorrhage and is associated with a high risk of death or disability. Thus, rapid and definitive intervention to secure the aneurysm is crucial.

Traditional Treatment Options

Traditionally, SAH due to aneurysms has been treated with:

– Surgical Clipping: A surgical procedure where a clip is placed at the base of the aneurysm to isolate it from normal blood circulation, effectively preventing rebleeding.

– Endovascular Coiling: A minimally invasive procedure where coils are placed inside the aneurysm via a catheter threaded through the vascular system, promoting clot formation and reducing the risk of the aneurysm rebleeding.

The Role of the WEB Device in Managing SAH

The WEB (Woven EndoBridge) device offers an innovative, minimally invasive alternative to traditional methods, particularly advantageous for managing wide-necked or difficult-to-access aneurysms:

– Design and Function: The WEB device is a self-expanding, mesh basket made from nickel-titanium alloy, designed to be deployed within the aneurysm sac. It acts to disrupt blood flow into the aneurysm, promoting thrombosis and thereby preventing rebleeding.

– Procedure: Placement of the WEB device is via endovascular techniques, making it a less invasive option that reduces the physical impact on the patient compared to open surgery.

– Applicability: This device is particularly useful for aneurysms that are not ideal candidates for coiling or clipping, due to their shape or location.

Advantages of Using the WEB Device

– Immediate Protection: By quickly isolating the aneurysm from circulation, the WEB device immediately reduces the risk of rebleeding.

– Reduced Recovery Time: Patients typically experience shorter hospital stays and quicker overall recovery.

– Safety and Efficacy: Clinical trials have shown the WEB device to be safe and effective in reducing the risk of rebleeding by securing the aneurysm.

Clinical Considerations

– Patient Selection: The suitability of the WEB device depends on aneurysm characteristics and the patient’s overall condition.

– Follow-Up: Regular imaging follow-ups are necessary to ensure the aneurysm remains securely isolated and to monitor the stability of the device.

By emphasizing the prevention of rebleeding as a primary objective, the management of SAH with the WEB device reflects a proactive approach to treating this life-threatening condition, aiming to stabilize the patient and prevent further complications.